Lompat ke konten Lompat ke sidebar Lompat ke footer

Marklagerläsionen Im Gehirn Ursachen

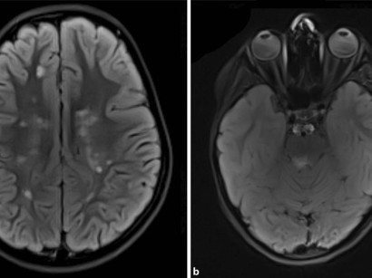
Kleine Subkortikale Infarkte Als Ursache Von Dysphagie Ogpb

Kleine Subkortikale Infarkte Als Ursache Von Dysphagie Ogpb

Marklagerläsionen im gehirn ursachen. Verwachsungen von Gefäßen im Bereich der Aderhaut untermauern die. Letztere kann allerdings zu Sehstörungen bzw. Es ist wie bei der Haut.

Von Marklagerläsionen spricht man wenn das Marklager im Gehirn beschädigt ist. Sie ist eine Lokalisationsform der Gliose. Infolgedessen entsteht eine Marklagergliose eine Vermehrung der Gliazellen im Marklager des Gehirns.

Die Untersuchung erfolgte aufgrund eines Verdachts auf einen Schlaganfall konnte aber nicht gefunden werden schon längere Zeit. Man findet ein paar Altersflecken die harmlos sind es kann sich allerdings auch um Folgen einer kleinen früheren Entzündung oder was noch häufig ist um kleine Entmarkungsherde bei Durchblutungsstörungen handeln. Sie sagen Borrelien verursachen Läsionen im Gehirn die man im CMRT sieht wie die der MS.

Sie sorgen so dafür dass keine Keime durch die äußere Barriere eindringen. Auch eine Vaskulitis Gefäßentzündung kann Gliosen im Gehirn verursachen. Eine unspezifische Marklagerläsion ist eine Veränderung vom Hirngewebe die nicht auf eine bestimmte Erkrankung hindeutet.

Diese Gliazellen ersetzen geschädigtes Nervengewebe. Dennoch sind Narben auf der Haut und im Gehirn unterschiedliche Phänomene. Läsionen im Gehirn Ursachen.

Bei Hautnarben verschließen Fibroblasten also Bindegewebszellen die verletzte Stelle. Diese zerebrale Kleingefäßerkrankung kann so erklären die Forscher zu Folgeerkrankungen wie zB. Eine Läsion ist allgemein eine Verletzung oder Beschädigung.

Dies entspricht einem Gesamtmonatspreis von 3542 im. Oft werden auch Veränderungen des Gewebes als Läsion bezeichnet.

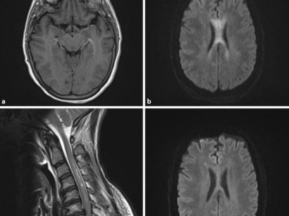
Inzidentelle Befunde Vaskularer Atiologie In Der Kranialen Mrt Springerlink

Inzidentelle Befunde Vaskularer Atiologie In Der Kranialen Mrt Springerlink

Neuroradiologie Wie Behandelbare Formen Der Demenz Erkannt Werden Konnen

Neuroradiologie Wie Behandelbare Formen Der Demenz Erkannt Werden Konnen

Inzidentelle Befunde Vaskularer Atiologie In Der Kranialen Mrt Springerlink

Inzidentelle Befunde Vaskularer Atiologie In Der Kranialen Mrt Springerlink

Marklagerlasionen Definition Und Ursachen

Marklagerlasionen Definition Und Ursachen

Neue Standards In Der Bildgebung Zerebraler Mikroangiopathien Springerlink

Neue Standards In Der Bildgebung Zerebraler Mikroangiopathien Springerlink

Mrt Kopf

Mrt Kopf

Marklagerlasion Ursachen Symptome Und Therapie

Marklagerlasion Ursachen Symptome Und Therapie

Wenn Das Gehirn Weiss Wird Healthcare In Europe Com

Wenn Das Gehirn Weiss Wird Healthcare In Europe Com

Neue Standards In Der Bildgebung Zerebraler Mikroangiopathien Springerlink

Neue Standards In Der Bildgebung Zerebraler Mikroangiopathien Springerlink

Https Www Thieme Connect De Products Ebooks Pdf 10 1055 B 0034 28048 Pdf

Https Www Thieme Connect De Products Ebooks Pdf 10 1055 B 0034 28048 Pdf

Lehrbuch Lyme Borreliose Praxis Berghoff

Lehrbuch Lyme Borreliose Praxis Berghoff

Neuroimaging Bei Parkinson Syndromen Medmedia

Neuroimaging Bei Parkinson Syndromen Medmedia

Https Www Marienkrankenhaus Org Fileadmin User Upload Weber Der Nervenarzt Entmarkungserkrankungen Pdf

Https Www Marienkrankenhaus Org Fileadmin User Upload Weber Der Nervenarzt Entmarkungserkrankungen Pdf

Https Www Thieme Connect Com Products Ejournals Pdf 10 1055 S 0038 1628520 Pdf

Https Www Thieme Connect Com Products Ejournals Pdf 10 1055 S 0038 1628520 Pdf

Https Www Marienkrankenhaus Org Fileadmin User Upload Weber Der Nervenarzt Entmarkungserkrankungen Pdf

Https Www Marienkrankenhaus Org Fileadmin User Upload Weber Der Nervenarzt Entmarkungserkrankungen Pdf

Http Www Neurokopfzentrum Med Tum De Neuroradiologie Documents Prakt Vort Entzuendungen Zns Prothmann Pdf

Http Www Neurokopfzentrum Med Tum De Neuroradiologie Documents Prakt Vort Entzuendungen Zns Prothmann Pdf

Wenn Das Gehirn Weiss Wird Healthcare In Europe Com

Wenn Das Gehirn Weiss Wird Healthcare In Europe Com

Https Www Marienkrankenhaus Org Fileadmin User Upload Weber Der Nervenarzt Entmarkungserkrankungen Pdf

Https Www Marienkrankenhaus Org Fileadmin User Upload Weber Der Nervenarzt Entmarkungserkrankungen Pdf

Mikroangiopathien Und Leukodystrophien Als Differenzialdiagnosen Springerlink

Mikroangiopathien Und Leukodystrophien Als Differenzialdiagnosen Springerlink

Radiologische Techniken Und Methoden Radiologische Techniken Und Methoden Springermedizin De

Radiologische Techniken Und Methoden Radiologische Techniken Und Methoden Springermedizin De

Https Www Thieme Connect Com Products Ejournals Pdf 10 1055 S 0038 1628520 Pdf

Https Www Thieme Connect Com Products Ejournals Pdf 10 1055 S 0038 1628520 Pdf

Https Docksci Com Download The Clinical Implication Of Cerebral White Matter Hyperintensities On Magnetic R 5a9d72fbd64ab26eb17f0fc4 Html

Https Docksci Com Download The Clinical Implication Of Cerebral White Matter Hyperintensities On Magnetic R 5a9d72fbd64ab26eb17f0fc4 Html

Https Www Thieme Connect Com Products Ejournals Pdf 10 1055 S 0038 1628520 Pdf

Https Www Thieme Connect Com Products Ejournals Pdf 10 1055 S 0038 1628520 Pdf

1

1

Diagnostische Radiologie Diagnostische Radiologie Springermedizin De

Diagnostische Radiologie Diagnostische Radiologie Springermedizin De

Neue Standards In Der Bildgebung Zerebraler Mikroangiopathien Springerlink

Neue Standards In Der Bildgebung Zerebraler Mikroangiopathien Springerlink

Neuroimaging Bei Parkinson Syndromen Medmedia

Neuroimaging Bei Parkinson Syndromen Medmedia

Http Www Dasne De Assets Neuroradiologie Marklagererkrankungen Bueltmann Kraemer Pdf

Http Www Dasne De Assets Neuroradiologie Marklagererkrankungen Bueltmann Kraemer Pdf

Https Www Thieme Connect De Products Ejournals Pdf 10 1055 S 2004 834707 Pdf

Https Www Thieme Connect De Products Ejournals Pdf 10 1055 S 2004 834707 Pdf

Raumfordernde Spinale Prozesse Raumfordernde Spinale Prozesse Springermedizin De

Raumfordernde Spinale Prozesse Raumfordernde Spinale Prozesse Springermedizin De

Pdf Diagnostic Imaging In Viral Encephalitis

Pdf Diagnostic Imaging In Viral Encephalitis

Lhermitte Zeichen Und Marklagerlasionen Bei Ms Was Ist Damit Gemeint

Lhermitte Zeichen Und Marklagerlasionen Bei Ms Was Ist Damit Gemeint

Neurologische Diagnostik Neurologische Diagnostik Springermedizin De

Neurologische Diagnostik Neurologische Diagnostik Springermedizin De

Gehirn Stress Und Depression Lassen Das Gehirn Schrumpfen

Gehirn Stress Und Depression Lassen Das Gehirn Schrumpfen

Kernspindiagnostik Wie Aus Kerngesunden Plotzlich Kranke Werden Der Spiegel

Kernspindiagnostik Wie Aus Kerngesunden Plotzlich Kranke Werden Der Spiegel

Http Www Wuensche Synology Me Wordpress Wp Content Uploads Neurodegerationcmrt Pdf

Http Www Wuensche Synology Me Wordpress Wp Content Uploads Neurodegerationcmrt Pdf

Lhermitte Zeichen Und Marklagerlasionen Bei Ms Was Ist Damit Gemeint

Lhermitte Zeichen Und Marklagerlasionen Bei Ms Was Ist Damit Gemeint

Das Ruckenmark Als Schlussel Zur Ms Diagnostik Healthcare In Europe Com

Das Ruckenmark Als Schlussel Zur Ms Diagnostik Healthcare In Europe Com

Das Ruckenmark Als Schlussel Zur Ms Diagnostik Healthcare In Europe Com

Das Ruckenmark Als Schlussel Zur Ms Diagnostik Healthcare In Europe Com

Wenn Das Gehirn Weiss Wird Healthcare In Europe Com

Wenn Das Gehirn Weiss Wird Healthcare In Europe Com

Http Www Dgnkongress Org Images Docs Abstracts2017 Epaper Dgn2017 Abstractband Pdf

Http Www Dgnkongress Org Images Docs Abstracts2017 Epaper Dgn2017 Abstractband Pdf

Multiple Sklerose Ms Diagnostik

Multiple Sklerose Ms Diagnostik

Lakunare Hirninfarkte Leukoaraiosen Und Andere Weisse Flecken Im Kernspin

Lakunare Hirninfarkte Leukoaraiosen Und Andere Weisse Flecken Im Kernspin

Https Www Marienkrankenhaus Org Fileadmin User Upload Weber Der Nervenarzt Entmarkungserkrankungen Pdf

Https Www Marienkrankenhaus Org Fileadmin User Upload Weber Der Nervenarzt Entmarkungserkrankungen Pdf

Neurologische Diagnostik Neurologische Diagnostik Springermedizin De

Neurologische Diagnostik Neurologische Diagnostik Springermedizin De

Https Www Hippocampus De Media 316 Cms 4a94eae60e155 Pdf

Https Www Hippocampus De Media 316 Cms 4a94eae60e155 Pdf

Https Www Thieme Connect De Products Ebooks Pdf 10 1055 B 0034 28048 Pdf

Https Www Thieme Connect De Products Ebooks Pdf 10 1055 B 0034 28048 Pdf

Lhermitte Zeichen Und Marklagerlasionen Bei Ms Was Ist Damit Gemeint

Lhermitte Zeichen Und Marklagerlasionen Bei Ms Was Ist Damit Gemeint

1

1

Die Marklagergliose ist die Folge einer Marklagerläsion nach der es zum Ersatz von funktionalem Nervengewebe durch Gliazellen gekommen ist.

Diese Gliazellen ersetzen geschädigtes Nervengewebe. Man findet ein paar Altersflecken die harmlos sind es kann sich allerdings auch um Folgen einer kleinen früheren Entzündung oder was noch häufig ist um kleine Entmarkungsherde bei Durchblutungsstörungen handeln. Die äußere Schicht des Großhirns und des Kleinhirns wird Hirnrinde genannt. Ich möchte die nächsten 3 Hefte kostenlos testen. MRT Befund Marklagerläsionen im Gehirn Auf welche Krankheit kann das hinweisen oder kann so etwas normal sein. Das Marklager hat eine weiße Farbe. Dies entspricht einem Gesamtmonatspreis von 3542 im. Von Marklagerläsionen spricht man wenn das Marklager im Gehirn beschädigt ist. Hallo Blue ja das halte ich auch für Schnickschnack dass MS jeder Mensch in sich trägt und bei dem einen bricht es aus und beim anderen nicht.


Läsionen im Gehirn Ursachen. Läsionen im Gehirn Ursachen. Das Gehirn besteht aus mehreren Teilen. Sie sorgen so dafür dass keine Keime durch die äußere Barriere eindringen. Unter der Hirnrinde des Großhirns und des Kleinhirns befindet sich im Inneren das Marklager. Durchblutungsstörungen hin die die meisten Menschen mit dem Alter mal mehr mal weniger ausgeprägt bekommen. Grüß Gott Karla die Deutung von kleinen Veränderungen im MR bei sonst gesunden Patienten ist nicht immer einfach.

Posting Komentar untuk "Marklagerläsionen Im Gehirn Ursachen"